Our Imaging Services

When ultrasound imaging is your next diagnostic step, allow us to come to your private practice and assess your patient in clinic. Make it more convenient for your clients and patients by keeping this service an in-house option and still get a specialists’ opinion.

*Our services are not available to the general public. Please contact your veterinarian to inquire about using our services.

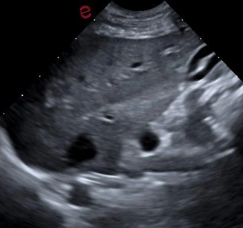
Abdominal Ultrasound with Specialist Consult

A complete abdominal ultrasound includes all organs and surrounding tissues of the abdominal cavity, including:

  • Liver, gallbladder, billiary system

  • Spleen

  • Kidneys and urinary bladder

  • Available reproductive organs- uterus, ovaries; testes, prostate

  • Adrenal glands

  • Gastrointestinal tract, including the pancreas

  • Surrounding tissues including lymph nodes, mesentery, and vasculature

All abdominal ultrasounds include a specialist report from an internal medicine specialist or radiologist.

Fine needle aspirates (FNA) of masses can be obtained upon request, however sedation and recent bloodwork will be required. Abdominocentesis and cystocentesis can also be requested.

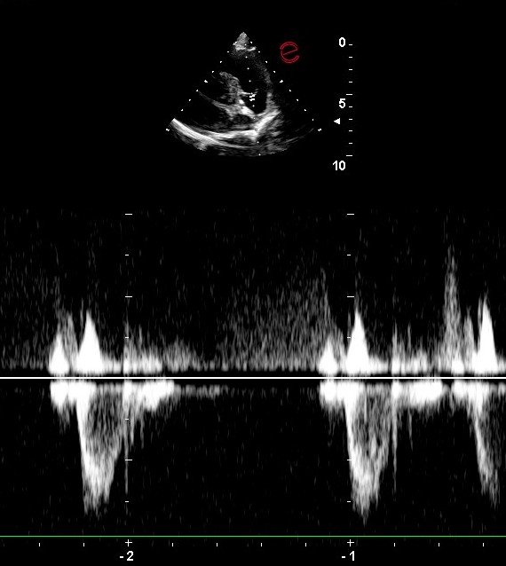
Echocardiogram with Cardiologist Consult

The use of ultrasound technology and skill to evaluate the heart to determine stages of disease relating to:

  • valve structure and function

  • chamber size, wall thickness, and contractility

  • systemic and pulmonary blood pressures , intra-cardiac pressures

All echocardiograms will be digitally referred to a board certified cardiologist for interpretation along with available thoracic radiographs, blood pressure, and ECG.

Referral of cases to a cardiologist may still be recommended depending on the severity of the disease, additional treatment option, or for surgical intervention.

Additional Soft Tissue Examinations

Ultrasound can also be used in the thorax to diagnose effusions and sometimes masses, which may allow sample collection.

Ultrasound can be used to identify thyroid and parathyroid nodules. Consider a thyroid ultrasound as a diagnostic tool in hypercalcemia patients. Sedation is required for thyroid examination.

Ultrasound can, of course, be of great use in confirming pregnancy and fetus viability.

For questions regarding availability, pricing, and protocols, please reach out to me at drkatlin.jhvi@gmail. I will happily get back with you as soon as possible!